
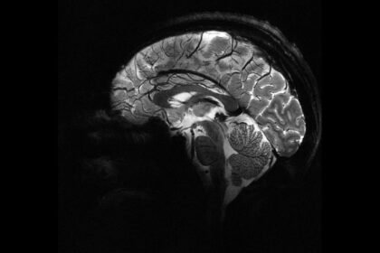
Nottingham Üniversitesi’nden bilim insanları, UK Biobank’ta yer alan 15 binden fazla yetişkinin verileriyle sağlıklı beyin yaşlanmasını tanıyan bir yapay zekâ modeli geliştirdi. Model, pandemide...
İspanya’nın kamu yayımcısı RTVE’nin paylaştığı görüntülerde, 54 çocuk ve 30 yetişkinin dalgalı denizde yüzerek Ceuta’ya ulaşmaya çalıştığı görüldü. Sivil Muhafız (Guardia Civil) ekipleri bazı gö...
Demokratik Kongo Cumhuriyeti’nin Ituri eyaletinde yer alan Komanda’da isyancı grup Müttefik Demokratik Güçler tarafından kiliseye düzenlenen saldırıda can kaybı arttı. Yetkilil...
Gazze’deki hükümetin Medya Ofisinden yapılan yazılı açıklamada, Gazze’de “kıtlığın giderek şiddetlendiği” belirtilerek, Filistinli sivillere ulaşması gereken yardımların ...
Alman Haber Ajansı DPA’nın haberinde, Riedlingen yakınlarında bir yerel yolcu treninin raydan çıktığı belirtildi. Çok sayıda arama ve kurtarma ekibinin olay yerine sevk edildiği bilg...
DSÖ, katil İsrail’in yoğun saldırıları ve ablukası altında bulunan Gazze Şeridi’ndeki yetersiz beslenmenin tehlikeli şekilde devam etmesi ile buna bağlı ölümlerdeki ani artışa ilişki...
Alman Haber Ajansı DPA’nın haberinde Riedlingen yakınlarında bir yerel trenin raydan çıktığı belirtildi. Çok sayıda arama ve kurtarma ekibinin olay yerine sevk edildiği ifade edilen ...
FFC’nin Telegram hesabından konuya ilişkin açıklama yapıldı. Açıklamada, yaklaşık 2 saat boyunca Hanzala ile iletişimin kesildiği ve gemi çevresinde dronların görüldüğü, bunun olası ...
İsrail Başbakanı Binyamin Netanyahu, Fransa Cumhurbaşkanı Emmanuel Macron’un ülkesinin Filistin devletini tanıma kararı aldığına ilişkin açıklamasını “şiddetle kınadığını” beli...
Operasyon sırasında bina önünde sahte diplomatik plakalar takılmış çok sayıda lüks araç bulundu. Olay yerinde gözaltına alınan Harsh Vardhan Jain adlı zanlının bu yasa dışı yapının kilit ismi ol...















